Implants
When a tooth or molar is lost, you can replace it with an implant. You can see the implant as an replaced root. After placement, the implant must grow fasting into the bone. When the implant has been intergrated, a crown can be made. In some cases it is possible to provide the implant with an emergency crown immediately after placement. Then you do not walk with a "gap" during intergration time. Sometimes if there is not enough bone, it is necessary to apply artificial bone to give the jaw the correct shape and to support the implant.
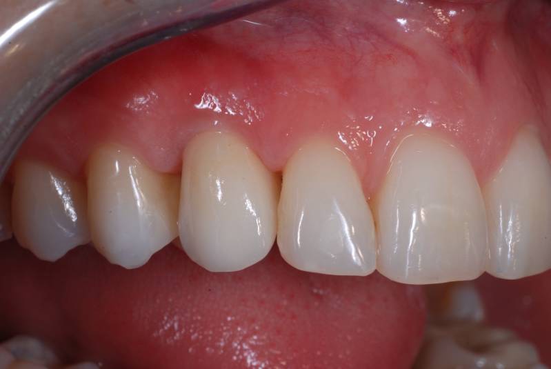
Examples:
Lost tooth that has been replaced by an implant with a crown



A small molar behind the canine has been replaced by an implant with a crown on it

